患者さんによって、入れ歯かブリッジのどちらが適してるのかが違います。
当院は、お一人お一人に合った適切な治療法を親切丁寧に分かりやすくご説明していますのでご安心下さいね。
- 歯を削るかどうか
ブリッジは歯を削らなくてはいけない。
入れ歯は削らなくても良い。
- 歯への負担の度合い
ブリッジは支えの歯に負担がかかる
入れ歯はブリッジほどは他の歯に負担がかからない
- 噛む力
ブリッジは噛む力が強い
入れ歯はブリッジほど噛めない
- 違和感の有無
ブリッジは違和感がほとんど無い
入れ歯は違和感がある
分りやすく言いますと、噛みやすさ、快適さを考えるならブリッジ、
歯を削りたくない方には入れ歯という事になります。
下記に詳しい両者の比較表がありますので、じっくり見て下さいね。
入れ歯とブリッジの比較表
|
入れ歯 |
ブリッジ |
|
 |
 |
| 治療方法 |
型取りをして、技工士さんが作ったものをお口にはめ込む感じです。 |
失った歯の両サイドの歯を削らないといけないです。 |
| 見た目 |
残ってる歯に金属の留め金をひっかけるのですが、銀色なので目立つ。 |
保険の効く歯の場合は、奥歯は銀歯になり、前歯はプラスチックの歯になりますので、見た目はあまり良くないです。セラミックなら自費治療ですが、見た目は非常に良いです。 |
| 噛む力 |
ブリッジほどは噛む力が出ない。 |
天然の歯よりも多少劣りますが、結構噛めます。 |
| 料金 |
保険が効くので、2万円程度の費用です。自費診療の場合は15〜25万円くらいかかります。 |
保険が効くので、2万円程度の費用です。自費診療の場合は33万円(セラミック)(税抜)かかります。 |
| 治療期間 |
約1ヶ月程度です。歯を抜いた場合は、その傷口が治るまで、プラス3週間くらいかかります。 |
約1〜2ヶ月程度です。ただし、支えの歯の神経治療が必要な場合はプラス1か月かかります。 |
当院はセラミック、ジルコニアを使ったブリッジ治療が得意な医院です。
見た目のキレイさや丈夫であること、長持ちを重視して治療をしていますのでご安心下さいね!
当院は、一人一人の患者様に合った治療法を親切丁寧にご説明しています。
セラミック治療は大変高度な治療ですので、専門医院で治療を受けられて下さいね。
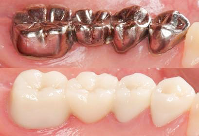
▼ 奥歯のセラミックブリッジの例
▼ 前歯のセラミックブリッジの例

ジルコニアとは、ジルコニアセラミックと言われることもあり、セラミックの1種です。(正式には二酸化ジルコニウム:化学式 ZrO2と言います。)要するにセラミックです。
ただ、違いがあります。その違いのうち、歯科治療においての違いを分かりやすくご説明します。
● 違い1:強度
強度はジルコニアの方が圧倒的に強いです。
人工ダイヤモンドとも呼ばれてるくらいです。
(ただ、そう呼ばれてるのは事実ですが、ダイヤモンドほどはもちろん強くないです。)
なので、ブリッジは力がかなりかかりますので強度の強いジルコニアを使います。セラミックではブリッジはできないです。(ジルコニアじゃないとできないです。単に歯を1本かぶせるのでしたらセラミックでもできます)
● 違い2:見た目(審美性)
見た目は、セラミックの方がキレイです。
ただ、そんなに大きく差があるわけではないですので、ジルコニアも前歯でも可能です。
見た目をすごく気にされる方はジルコニアをベースにして、セラミックを貼りつけたタイプを使います。
実際の具体的な治療法については、歯の状態に左右される事が多いので、歯科医院で確認してもらうことが必要になります。
特に、セラミックもジルコニアも歯科医師の技術にものすごく左右されますので、歯科医院を選ぶ時はセラミックのブリッジに精通してる医院を必ず選んで下さい。
ここで、セラミックとジルコニアは紛らわしいので、分かりやすく整理します。
一般的な呼び名の「セラミック」→
100%セラミック(オールセラミック)のことを指します。強度が低く、ブリッジには使えません。
一般的な呼び名の「ジルコニア」→
100%ジルコニアの事です。ブリッジに使えます。
分かりやすい当院のセラミック、
ジルコニアの種類
当院では、ブリッジに使うセラミック系統の素材については、分かりやすく2種類に分類しています。
@ オールセラミックと、
A ジルコニアセラミックです。
ジルコニアセラミックとは、ジルコニアをベースにしてその上にセラミックを貼りつけたものです。
ブリッジはこの2種類しか使えません。(使えると言ってる医院は強度を考えていません)
カトレア歯科・美容クリニック
大阪府大阪市北区梅田1-12-6 E-ma(イーマ)6階
TEL:06-6136-7307
院長 辻 和志
2008年 国立九州大学歯学部卒業
2011年 神戸大学病院歯科口腔外科入局
同大学院医学研究科外科系講座(口腔外科学)入学
2015年 同大学院博士課程修了(医学博士)
2017年 まつもと歯科 勤務
梅田クローバー歯科アネックス 勤務
2020年 カトレア歯科・美容クリニック 院長就任
梅田茶屋町クローバー歯科
大阪市北区茶屋町15-22 アーバンテラス茶屋町C棟4階
TEL:06-6485-8701
院長 竹田 亮
2007年 国立長崎大学歯学部卒業
2011年 クローバー歯科クリニック豊中本町院 勤務
2014年 クローバー歯科クリニック豊中本町院 院長就任
2020年 梅田茶屋町クローバー歯科 院長就任
梅田クローバー歯科アネックス
大阪市北区梅田1-1-3 大阪駅前第3ビル18F
TEL:06-6344-0418
院長 宮本 安智
2007年 松本歯科大学卒業
2017年 梅田クローバー歯科アネックス 勤務
2019年 梅田クローバー歯科クリニック 院長就任
2020年 梅田クローバー歯科アネックス 院長就任
梅田クローバー歯科クリニック
大阪市北区梅田1-1-3 大阪駅前第3ビル18F
TEL:06-6345-0840
院長 久野 喬
松本歯科大学卒業
2014年 まつもと歯科 勤務
2019年 梅田クローバー歯科クリニック 勤務
2020年 梅田クローバー歯科クリニック 院長就任
まつもと歯科(吹田本院)
大阪府吹田市山田東2-1-1
TEL:06-6878-4500
院長 山口 聡哉
2002年 国立大阪大学歯学部卒業
2006年 まつもと歯科 勤務
2016年 まつもと歯科 院長就任
なんばクローバー歯科
大阪市浪速区湊町1-2-3 マルイト難波ビル3F
TEL:06-6586-6070
院長 共田 京太
2000年 国立 長崎大学歯学部卒業
2007年 まつもと歯科 勤務
2010年 まつもと歯科 医長就任
2011年 梅田クローバー歯科クリニック 副院長就任
2012年 なんばクローバー歯科 院長就任
クローバー歯科 あべの天王寺院
大阪府大阪市阿倍野区阿倍野筋1-2-30 あべのHoop4F
TEL:06-6654-5110
院長 永井 伸人
国立徳島大学歯学部卒業
2004年 国立徳島大学 歯学部 歯学科入学
2010年 愛媛大学医学部付属病院 歯科口腔外科研修医
2011年 大阪(梅田)の歯科医院勤務
2016年 同法人の副院長就任
2018年 まつもと歯科 勤務
2019年 クローバー歯科クリニック豊中駅前院 勤務
2021年 クローバー歯科あべの天王寺院 院長就任
心斎橋クローバー歯科
大阪市中央区心斎橋筋1-4-29ココテラス心斎橋4F
TEL:06-6224-0390
院長 山田 秀史
2007年 松本歯科大学卒業
2011年 松本歯科大学大学院卒業
2013年 まつもと歯科 勤務
2018年 まつもと歯科 副院長就任
2019年 心斎橋クローバー歯科 院長就任
クローバー歯科クリニック豊中駅前院
豊中市玉井町1-1-1 エトレとよなか3F
TEL:06-6857-4500
院長 松本 康裕
1997年 福岡県立九州歯科大学卒業
2000年 まつもと歯科 勤務
2002年 まつもと歯科 副院長就任
2003年 クローバー歯科クリニック豊中駅前院 院長就任
クローバー歯科豊中駅前アネックス
豊中市玉井町1-1-1 エトレとよなか4F
TEL:06-6152-6334
院長 中西 洋介
昭和大学歯学部卒業
2019年 クローバー歯科クリニック豊中駅前院 勤務
2022年 クローバー歯科豊中駅前アネックス 院長就任
クローバー歯科クリニック豊中本町院
豊中市本町7-1-39
TEL:06-6857-7400
院長 金子 浩康
2007年 国立長崎大学歯学部卒業
2014年 クローバー歯科クリニック豊中本町院 勤務
2020年 クローバー歯科クリニック豊中本町院 院長就任
高槻クローバー歯科
高槻市高槻町12-23 ワキタビル2階
TEL:072-668-4444
院長 野 祐
2013年 国立岡山大学 歯学部卒業
2013〜2014年 岡山大学病院臨床研修
2014〜2017年 兵庫県の歯科医院にて勤務
2018年 まつもと歯科 勤務
2021年 高槻クローバー歯科 院長就任
茨木クローバー歯科
茨木市松ケ本町8-30 イオンモール茨木2階
TEL:072-697-8829
院長 清水 博行
大阪歯科大学卒業
医療法人貴心会 増田歯科クリニック勤務
医療法人孝陽会 戸谷歯科クリニック勤務
医療法人真摯会 クローバー歯科クリニック豊中駅前院 勤務
2025年3月 茨木クローバー歯科 院長就任
三宮クローバー歯科クリニック ミント神戸院
兵庫県神戸市中央区雲井通7-1-1 ミント神戸15F
TEL:078-862-9077
院長 坂野 弘子
2006年 国立岡山大学歯学部卒業
2013年 三宮クローバー歯科クリニック 勤務
2019年 三宮クローバー歯科クリニック 院長就任
クローバー歯科クリニック 神戸マルイ院
神戸市中央区三宮町1-7-2 神戸マルイ5F
TEL:078-335-6930
院長 今福 京
2005年 国立長崎大学歯学部卒業
2008年 まつもと歯科 勤務
2016年 まつもと歯科 副院長就任
2016年 三宮クローバー歯科クリニック 副院長就任
2018年 クローバー歯科クリニック神戸マルイ院 院長就任
西宮クローバー歯科
兵庫県西宮市高松町8-25 阪急西宮ガーデンズ プラス館3階
TEL:0798-39-7020
院長 廣石 勝也
2017年 朝日大学歯学部卒業
大阪歯科大学総合診療科臨床研修
大阪市内クリニックにて勤務
同法人医長就任
2022年 クローバー歯科 あべの天王寺院 勤務
2023年 西宮クローバー歯科 院長就任
京橋クローバー歯科
大阪市都島区東野田町2-6-1 コムズガーデンB1階
TEL:06-6585-0225
院長 小山 泰志
松本歯科大学歯学部卒業
2019年 奈良県立医科大学附属病院 歯科口腔外科入局
2021年 大阪の歯科医院に勤務
2023年 クローバー歯科 あべの天王寺院 勤務
2025年 京橋クローバー歯科 院長就任